
Новостная лента
14.10.2025 16:09
14.10.2025 15:33
14.10.2025 14:52
14.10.2025 14:25
14.10.2025 13:48
14.10.2025 12:30
14.10.2025 11:55
14.10.2025 11:23
14.10.2025 10:48
14.10.2025 10:16
13.10.2025 17:15
13.10.2025 16:39
13.10.2025 15:19

0
7
У юного сургутянина обнаружили редкую опухоль головного мозга
Прогноз благоприятный

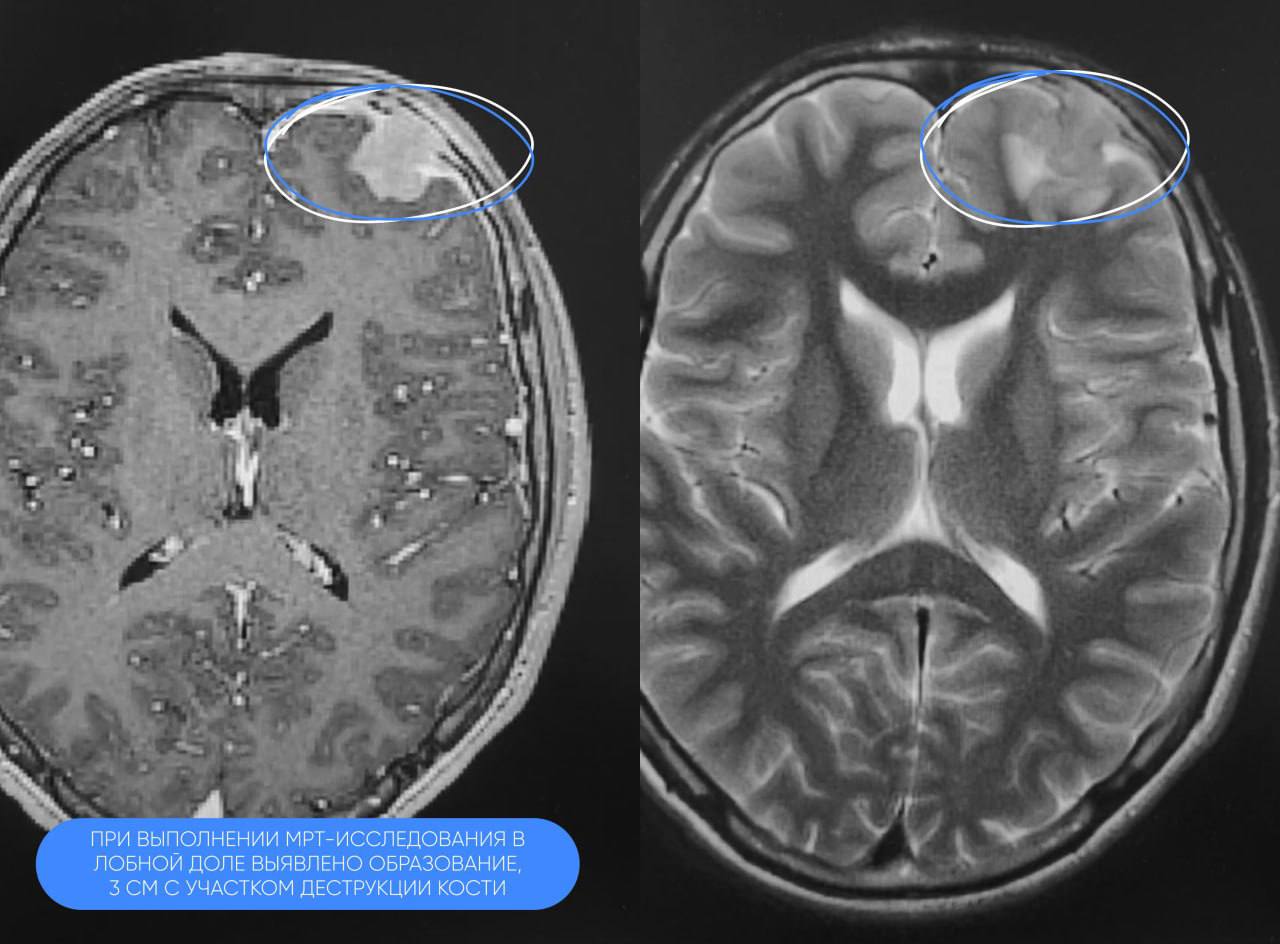
В травмцентр Сургута обратился 12-летний мальчик с жалобами на сильные головные боли и потерю сознания. МРТ выявила у него объемное образование до 3 см в лобной доле с вовлечением костной ткани свода черепа.
Патоморфологи СОКБ провели дополнительное исследование. Была обнаружена редкая доброкачественная опухоль головного мозга — ювенильная ксантогранулема.
«Микроскопическая картина показала типичные клетки для гистиоцитарных новообразований. Признаков злокачественности не было. Диагноз подтвердили с помощью иммуногистохимии», — рассказала врач Валентина Видуто.
Мальчика направили для дальнейшего наблюдения в Нижневартовскую окружную детскую больницу. Врачи дают благоприятный прогноз.

Афиша мероприятий
Будьте в курсе событий нашего города
30.11.2025
Спектакль «Раневская. Сквозь смех и слёзы!»
14.11.2025
Детский спектакль «Бременские музыканты»
31.10.2025
Концерт Линды
26.10.2025
Концерт Игоря Николаева
Сколько средств вы потратили на подготовку ребенка к школе?
Спасибо, Ваш голос принят
Менее 10 тысяч рублей
От 10 до 25 тысяч рублей
От 25 до 40 тысяч рублей
Более 40 тысяч рублей